
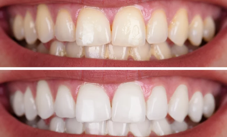
Відбілювання зубів стає популярним способом покращити усмішку. Але важливо знати, які переваги та ризики несе процедура. Якщо ви шукаєте професійну допомогу, стоматологія Одеса «Kichuk Dental Clinic» пропонує сучасні методики, які підходять для різних типів емалі та індивідуальних потреб пацієнта.
Плюси відбілювання зубів
Покращення естетики
Головна перевага відбілювання — це відновлення природного кольору зубів і усунення плям від кави, чаю або тютюну. Процедура дозволяє отримати більш яскраву та привабливу усмішку без застосування ортопедичних конструкцій. Завдяки професійним методикам можна уникнути нерівномірного відбілювання та надати зубам однорідний відтінок.
Підвищення впевненості
Регулярне відбілювання та професійна чистка зубів Одеса допомагають підтримувати здорову та привабливу усмішку. Пацієнти відзначають, що після процедур вони відчувають більшу впевненість у спілкуванні та комфорт при щоденних взаємодіях, адже здорові та білі зуби роблять усмішку природною та доглянутою.
Мінуси та ризики
Чутливість зубів
Після відбілювання деякі пацієнти відчувають підвищену чутливість зубів до холодного або гарячого. Це тимчасове явище, але воно може викликати дискомфорт. Щоб зменшити ризик, важливо дотримуватися рекомендацій стоматолога і уникати самостійного використання висококонцентрованих гелів.
Пошкодження емалі при неправильному застосуванні
Неправильне застосування відбілюючих засобів може призвести до пошкодження емалі. Надмірна концентрація пероксиду або часте повторення процедур може зробити зуби більш крихкими. Саме тому професійне чищення зубів перед відбілюванням є обов’язковим етапом підготовки.
Додатковий догляд та чистка зубів від каменю

Щоб підтримати результат відбілювання, рекомендується регулярна чистка зубів, включаючи ультразвукову та механічну обробку поверхні. Це допомагає запобігти утворенню зубного каменю і нальоту, а також продовжує ефект відбілювання. Професійні стоматологи радять дотримуватися правил гігієни: чистити зуби двічі на день, використовувати зубну нитку та полоскання.
Також важливо знати, чим небезпечне недотримання гігієни зубів, і що не можна робити після чистки зубів, щоб уникнути пошкодження емалі та повернення пігментації. Регулярна професійна чистка зубів та ультразвукове чищення зубів допомагають підтримувати здоров’я ротової порожнини на високому рівні.
FAQ
Скільки коштує чистка зубів?
Вартість залежить від методики: гігієнічна чистка зубів, ультразвукова чистка зубів або комбінована. Для точних цін звертайтесь до клініки.
Які техніки чищення зубів існують?
Існує механічна, ультразвукова та комбінована чистка зубів, які застосовуються залежно від стану ротової порожнини.
Що не можна робити після чистки зубів?
Рекомендується уникати темних напоїв, тютюну та харчових барвників протягом 24–48 годин після процедури.
Як часто можна робити відбілювання?
Професійне відбілювання зубів рекомендується не частіше ніж 1 раз на рік, щоб не пошкодити емаль.
Висновок
Відбілювання зубів — ефективний спосіб покращити усмішку та підвищити впевненість у собі. Проте важливо обирати безпечні методики та дотримуватися рекомендацій стоматолога, щоб уникнути чутливості зубів або пошкодження емалі. Регулярна чистка зубів, профілактичні огляди та дотримання правил гігієни допомагають зберегти ефект відбілювання на тривалий час і підтримують здоров’я ротової порожнини.
Стаття підготовлена під експертним керівництвом клініки «Kichuk Dental Clinic», стоматологія в районі Слободки Одеса, за адресою: ул. Виталия Нестеренко, 1Б (ЖК «Одесские традиции»).